We are all vaguely aware that life can change in an instant, a heartbeat, a blink of an eye. In the backs of our minds, we know we’re one car crash, one decision, one diagnosis away from a completely different life. Yet, we don’t want to live in fear of the unknown, so we subconsciously suppress this truth until the day it smacks us in the face.
My story begins on the very day that I was blindsided; June 24th, 2018. Our family had just returned home from a beach vacation in South Carolina. Photo from our last night at the pier:
It was a Sunday. My husband, Josh, and I were doing housework while our four year old was teaching our one year old the best way to play with Play-Doh at our kitchen counter. It was such an ordinary moment, and we’d had a hundred others just like it… until I felt a horrible sensation rip through the nerves in my left arm. I told Josh, “my whole arm just went numb.” He asked if I was okay, and I could only respond “no” in between screams.
My skin felt like it was trying to harness golf balls moving wildly in my veins. Pain was everywhere; my neck, head, ear, ribs, and arm; all on the left side. Just when I thought it would never stop… it did, just as suddenly as it had started.
In an instant, I could hear again. My kids were crying; they were scared. My husband was on the phone with 911. I was kneeling on the kitchen floor, staring at my left hand.
It’s a funny feeling when your body moves without you telling it to. In an odd way, it felt like I had been betrayed by my best friend. My mind and body had been together forever, my mind knew my body better than anyone, and my body always did what my mind told it to do. Except for today. Today my body acted on it’s own accord, without any direction. It was terrifying.
By the time the ambulance arrived, I was already reassuring my frightened boys that mommy was just fine; “my arm just hurts and I need a doctor to look at it.” When I reflect on this moment, I often laugh at how ‘mom instincts’ tend to take over. Here I was, in the middle of the most terrifying moment of my life, and my need to protect and reassure my children was stronger than the fear I had for myself, or what was to come.
But, the second I stepped into the ambulance, I became the child, and the trained medical team did their best to explain what was happening, and keep me calm. “It could be a stroke, but more than likely, it’s just a pinched a nerve,” the EMT had said. It was easy to believe him. I had never been a ‘sick’ person.’ Sure, I’ve had colds, but I’ve never been to the hospital, except for giving birth to our babies. I’ve never even had a cavity!
By the time we arrived at the hospital, I felt incredibly silly being wheeled in on a stretcher with my purse in my lap. As I was being steered down the long hallway, I caught the eyes of a young girl sitting in a hospital bed. We looked at each other for what seemed like a long time. Her face was full of worry. She had been crying. I couldn’t help but wonder what her story was. Looking at her made me feel a bit embarrassed for rushing into the ER over a pinched nerve when there were people who needed those beds for more serious things. My thoughts were interrupted as my own bed took a turn and I was settled into a room nearby. Later, I wondered if she had the same thoughts about me.
Within minutes, I was being questioned, poked and prodded. Josh showed up sooner than I ever thought possible, having taken our boys to our neighbor’s house, and was sitting with me while we talked to a neurologist via video conferencing (thank you, Technology!).
When asked to explain the incident, I felt the same sensation tear through the left side of my body. This time, without my children present, and the hospital noises, smells, and sounds around us, a harsh reality started to sink in. Something was seriously wrong.
Screams and tears were pouring freely, and my arm was moving wildly on its own; I couldn’t control it. The hospital staff began to scramble, and medicine poured into my veins through an IV. Again, the episode stopped as suddenly as it had began, but this time, the hospital staff had seen it, and, they had suspicions of what was going on.
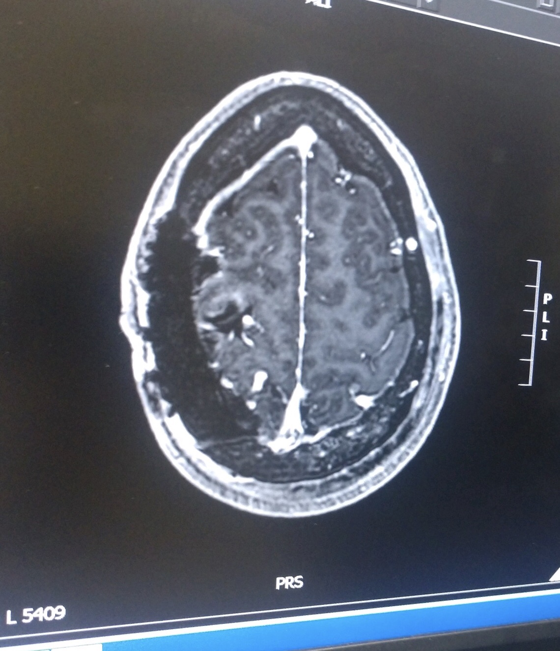
Over the next several hours, I was subjected to test after test, and answers began to come. First, seizure activity was confirmed. Then, we were told about the brain tumors; “several.” Finally, for the first time, we heard the word Neurofibromatosis II.
Although this news was detrimental, all I could do was laugh. I laughed so hard I cried. Were they sure they had the right scans? I couldn’t even pronounce the word; ‘Neurofibromatosis.’ I told the neuro that he had to be wrong; afterall, the EMT had assured me this was only a pinched nerve.

Despite my inability to comprehend what was happening, I was admitted for further observation. My husband never left my side. He made all of the right phone calls, asked all the right questions, and let me fall asleep that night in ignorant bliss, thinking there had to be some sort of mistake.
I was woken up he next morning for a blood draw. The lights were turned on for visibility, and Josh was laying on the hard couch in the room. His eyes were open. We stared at each other until my blood had filled 4 vials, and the phlebotomist left the room.
Then, Josh said said the 5 words that made everything true; “it’s going to be okay.”
That was the moment I realized this was not a dream. It was real. I had Neurofibromatis II; a diagnosis that would change my life. I wasn’t quite sure yet exactly what was going to change, but I knew it was big.
I’ve always believed that although we don’t get to choose what happens to us, we do get to decide how we react to it. These are the moments that define us.
This is my story. And it is just getting started.





























Thankfully, this time, all of my specialists were in agreement; first my spinal specialist, then radiology, and finally my ENT; “no growth,” “stable” and “good news!”




